만성 폐쇄성 폐질환 진단 및 발병원인과 치료법 알아보기

들어가기 전에
만성 폐쇄성 폐질환은 폐의 기능적인 손상에 의한 질병이며, 세계적으로 많은 사람들이 영향을 받고 있습니다. 
이러한 질환은 호흡 곤란, 기침, 가래 등 다양한 증상을 유발할 수 있으며, 진단과 적절한 치료가 중요합니다. 
이 글에서는 만성 폐쇄성 폐질환의 진단 방법, 발병 원인, 그리고 현재 사용되는 주요 치료법에 대해 알아보겠습니다.
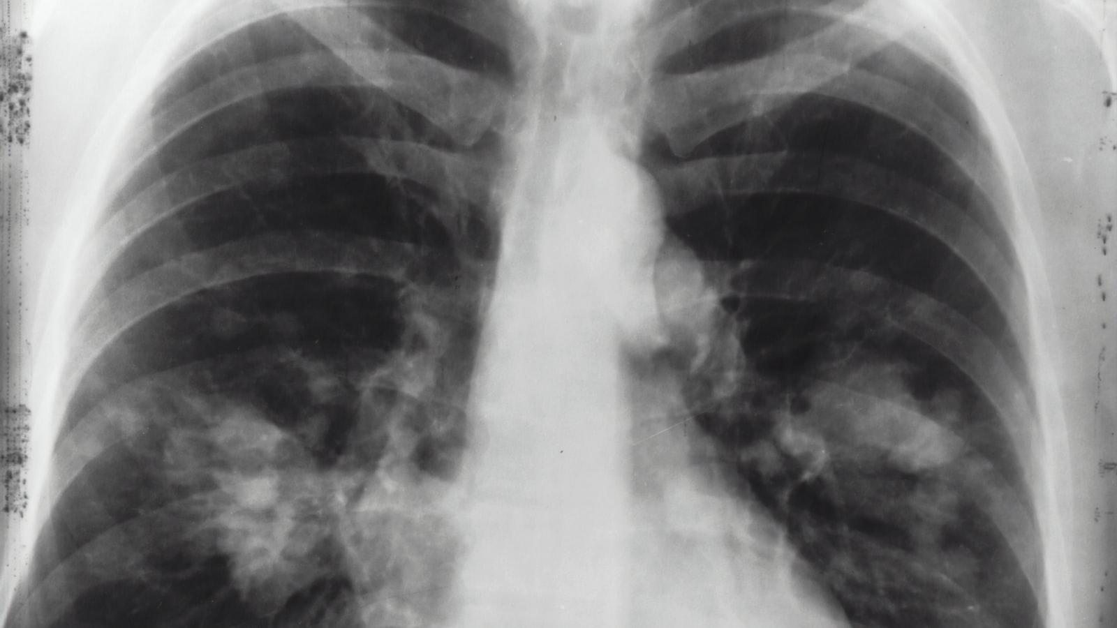
만성 폐쇄성 폐질환 진단
만성 폐쇄성 폐질환의 진단은 여러 가지 방법을 통해 이루어집니다. 
우선, 환자의 증상을 평가하고 기침, 가래, 호흡 곤란 등의 특징을 확인합니다. 그런 다음, 폐기능 검사를 통해 폐의 기능을 정량화하는데, 이는 폐의 공기 용량, 순환 기능, 환기 기능 등을 평가하는 것입니다. 이러한 폐기능 검사는 폐의 염증 정도와 기능 손실 정도를 알아내는데 주요한 도구입니다.
또한 진단에는 폐 전산화 단층촬영(CT)이 사용될 수도 있습니다. 폐 CT는 폐의 구조와 기능에 대한 더 상세한 정보를 제공하며, 폐 질환과 연관된 다른 이상 소견을 확인하는 데 도움을 줍니다. 환자의 기침이나 가래, 폐기능 검사 결과에 따라 의사는 폐 CT를 권장할 수 있습니다.
암 세포 소위 확장을 위해 폐선초음파 검사와 PET-CT 등의 검사도 사용될 수 있습니다. 이러한 검사는 만성 폐쇄성 폐질환 외에도 다른 폐 질환의 진단에도 활용되는 중요한 도구입니다. 따라서 정확한 진단을 위해 의사의 지시에 따라 해당 검사를 받도록 권장합니다.
만성 폐쇄성 폐질환 발병원인
만성 폐쇄성 폐질환은 다양한 요인에 의해 발병할 수 있습니다. 가장 흔한 원인은 금연을 포함한 흡연입니다. 
담배 연기에는 폐를 손상시키는 많은 유해물질이 포함되어 있어서, 오랜 기간 동안 흡연을 한 사람들은 만성 폐쇄성 폐질환에 높은 위험을 가지게 됩니다.
또한, 공기 중의 오염물질, 예를 들면 공장 연기, 환경오염물질, 화학 물질 등도 만성 폐쇄성 폐질환의 원인이 될 수 있습니다. 이러한 오염물질을 자주 마주하고 있는 사람들은 폐 건강에 영향을 줄 수 있으므로 예방적인 조치를 취하는 것이 중요합니다.
또한 유전적인 요인도 만성 폐쇄성 폐질환 발생에 영향을 미칠 수 있습니다. 만성 폐쇄성 폐질환은 가족력이 있는 사람들에서 더 자주 나타날 수 있으며, 특히 α1-Antitrypsin 결핍이라는 유전자 변이를 가진 사람들은 특히 높은 위험을 가지게 됩니다.
만성 폐쇄성 폐질환 치료법
만성 폐쇄성 폐질환의 치료는 주로 증상의 완화와 질병의 진행을 늦추는 데 초점이 맞춰져 있습니다. 
가장 중요한 것은 흡연을 중단하는 것입니다. 담배 연기가 폐 건강에 악영향을 미치기 때문에, 흡연을 하지 않거나 흡연을 중단하는 것이 가장 효과적인 예방과 치료 방법입니다.
약물 치료도 폐 기능 개선과 증상 완화에 도움을 줄 수 있습니다. 의사는 개개인의 상황에 맞게 적절한 약물을 처방해주어야 합니다. 일반적으로 사용되는 약물로는 폐확장제, 코티코스테로이드 제제, 항염증제 등이 있으며, 이러한 약물은 폐 기능을 일시적으로 개선하고 호흡 곤란, 기침 등의 증상을 완화하는 데 도움을 줍니다.
심한 증상이 있는 환자에게는 치료의 일환으로 폐 이식이 필요할 수도 있습니다. 이러한 수술은 의사의 상담과 평가를 통해 결정되어야 하며, 이식 후에는 항감염제나 한투혈제와 같은 약물 치료 등의 후속 치료가 이루어져야 합니다.
결론
만성 폐쇄성 폐질환은 심각한 폐 손상을 일으킬 수 있는 질병으로, 정확한 진단과 적절한 치료가 필요합니다. 
진단에는 폐기능 검사와 폐 CT 등의 검사가 중요한 역할을 하며, 금연과 같은 예방적 조치가 가장 효과적인 치료법입니다. 약물 치료와 폐 이식은 증상 완화와 질병 진행의 지연에 도움을 주는 중요한 치료법입니다. 
만성 폐쇄성 폐질환에 대한 이해와 조기 진단을 통해 환자의 삶의 질을 향상시키는 것이 중요하며, 이를 위해 의사와의 협조가 필요합니다.
'의학상식' 카테고리의 다른 글
| 위장병학의 의학적 특징과 발전방향 (0) | 2023.11.09 | 
|---|---|
| 편평세포암종 발병원인 및 증상, 치료법 (0) | 2023.11.08 | 
| 겸상적혈구빈혈증의 원인과 증상 및 치료법 (1) | 2023.11.08 | 
| 피부과학의 의학적 특징 알아보기 (0) | 2023.11.04 | 
| 내분비학의 의학적 특징 알아보기 (0) | 2023.11.04 | 
 
                  
                 
                  
                 
                  
                